[공지사항]
임달 박영준 난중일기(앞니 임플란트)
작성일 : 2026.01.20
최고관리자
댓글 : 0
조회 : 155
임달 박영준 난중일기
고령 · 전신질환 동반 환자의 상악 전치부 보험임플란트 치료 기록
본 증례는 만 65세 이상 건강보험 임플란트 대상자로,
전신질환과 진행된 치주 질환을 동시에 고려해야 했던
상악 전치부 고난도 치료 사례이다.
단순히 임플란트를 식립하는 문제가 아니라,
환자의 전신 상태와 잔존 골 환경을 어떻게 안정적으로 재구성할 것인가가
치료의 핵심이었다.
환자 기본 정보
* 성별 / 연령 : 여성, 70세
* 내원 경로 : 지인 소개
* 초진 기관 : 광진구 구의동치과
* 주소 증상 : 상악 전치부 불편감, 저작 시 힘 소실, 잇몸 퇴축 인지
전신 병력 및 위험 인자
환자는 다음과 같은 전신질환을 가지고 있었다.
* 고혈압
* 당뇨
* 골다공증 주사제 장기 투약 중
해당 조건은 모두
임플란트 치료 시 초기 골유착 지연 및 염증 반응 증가 가능성을 동반하므로,
치료 계획 수립 단계에서부터 보수적인 접근이 필요했다.
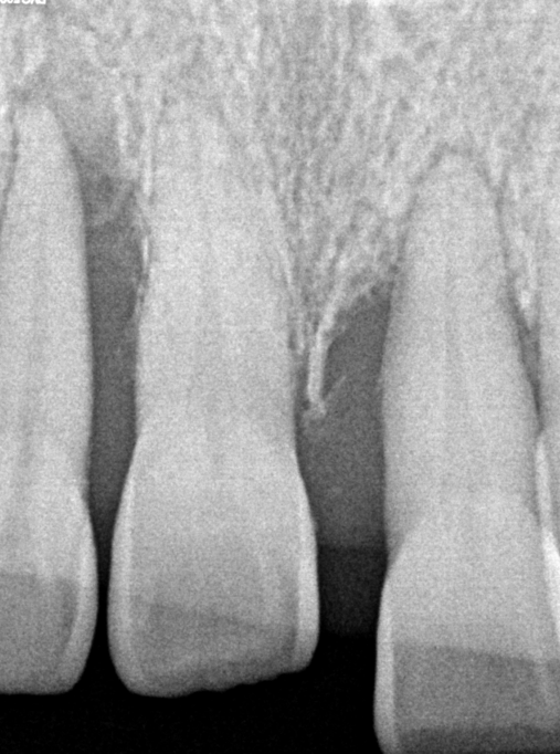
영상 및 구강 검사 소견
파노라마 및 CBCT 분석 결과,
* 전반적인 만성 치주염 소견
* 상·하악 치조골의 광범위한 흡수
* 특히 상악 전치부에서 수직·수평적 골 소실이 현저
* 치근 대비 잔존골 높이 및 폭 모두 제한적
즉, 환자가 느끼는 불편은 앞니였으나
실제 문제는 이미 치조골 단계에서 진행 중인 상태였다.
치료 전략 수립의 기준
본 증례는
* 고령
* 전신질환
* 보험임플란트 대상
이라는 조건이 동시에 존재했기 때문에,
“보험이 되느냐”가 아니라
“이 환자의 회복 능력을 고려했을 때 어떤 방식이 안전한가”가
치료 판단의 기준이 되었다.
이에 따라 다음 원칙을 설정하였다.
* 염증의 충분한 정리 후 식립
* 상악 전치부 골 환경을 고려한 보수적 식립 위치
* 초기 골유착 환경 개선을 위한 플라즈마 처리 병행
만 65세 보험임플란트 + 플라즈마 처리 식립
본 환자는 건강보험 기준을 충족하는 만 65세 이상 보험임플란트 대상자였으며,
임플란트 식립 전 플라즈마 표면 처리 과정을 병행하였다.
플라즈마 처리는
보험·비보험의 구분이 아닌,
환자의 전신 상태와 치유 능력에 따른 보완적 선택이다.
이를 통해 기대한 임상적 목적은 다음과 같다.
* 임플란트 표면의 친수성 향상
* 혈액 접촉 시 초기 혈병 안정
* 골형성 세포 부착 환경 개선
* 고령·당뇨 환자에서 초기 골유착 조건 보완
수술 중 소견
수술 중 확인된 상악 전치부는
* 협측 골의 부분적 소실
* 치조정 폭 감소
* 연조직 탄성 저하
등이 관찰되었으며,
식립 각도와 깊이에 대한 세밀한 조정이 필요했다.
임플란트는
잔존골을 최대한 존중하는 위치에 식립하였고,
과도한 전진이나 무리한 고정력 확보는 지양하였다.
봉합 및 초기 회복 평가
수술 후에는
임플란트 고정 상태보다 연조직 반응과 봉합 안정성을 우선적으로 평가하였다.
* 봉합부 긴장도
* 혈류 반응
* 초기 염증 반응 여부
본 증례의 치료 목표는
“식립 완료”가 아니라
“안정적으로 회복될 수 있는 조건을 만드는 것”이었다.
증례 정리 및 임상적 의미
본 케이스는
보험임플란트 치료라 하더라도
모든 환자에게 동일한 방식이 적용될 수 없음을 보여준다.
특히 고령과 전신질환이 동반된 경우에는
임플란트의 종류보다
집도의의 판단 기준과 치료 원칙이 예후에 더 큰 영향을 미친다.
난중일기 기록 요약
* 만 70세 여성, 보험임플란트 적용 대상
* 만성 치주염 및 상악 전치부 치조골 소실
* 당뇨·골다공증 주사제 투약 중인 고위험군
* 보험임플란트 식립 시 플라즈마 처리 병행
* 초기 골유착 환경과 장기 안정성 중심의 치료 계획
기록자
*임플란트 달인 임달
박영준 | 구강악안면외과 전문의
광진구 구의동치과
고난도 임플란트 · 재수술 · 전신질환 동반 임플란트 진료
고령 · 전신질환 동반 환자의 상악 전치부 보험임플란트 치료 기록
본 증례는 만 65세 이상 건강보험 임플란트 대상자로,
전신질환과 진행된 치주 질환을 동시에 고려해야 했던
상악 전치부 고난도 치료 사례이다.
단순히 임플란트를 식립하는 문제가 아니라,
환자의 전신 상태와 잔존 골 환경을 어떻게 안정적으로 재구성할 것인가가
치료의 핵심이었다.
환자 기본 정보
* 성별 / 연령 : 여성, 70세
* 내원 경로 : 지인 소개
* 초진 기관 : 광진구 구의동치과
* 주소 증상 : 상악 전치부 불편감, 저작 시 힘 소실, 잇몸 퇴축 인지
전신 병력 및 위험 인자
환자는 다음과 같은 전신질환을 가지고 있었다.
* 고혈압
* 당뇨
* 골다공증 주사제 장기 투약 중
해당 조건은 모두
임플란트 치료 시 초기 골유착 지연 및 염증 반응 증가 가능성을 동반하므로,
치료 계획 수립 단계에서부터 보수적인 접근이 필요했다.
영상 및 구강 검사 소견
파노라마 및 CBCT 분석 결과,
* 전반적인 만성 치주염 소견
* 상·하악 치조골의 광범위한 흡수
* 특히 상악 전치부에서 수직·수평적 골 소실이 현저
* 치근 대비 잔존골 높이 및 폭 모두 제한적
즉, 환자가 느끼는 불편은 앞니였으나
실제 문제는 이미 치조골 단계에서 진행 중인 상태였다.
치료 전략 수립의 기준
본 증례는
* 고령
* 전신질환
* 보험임플란트 대상
이라는 조건이 동시에 존재했기 때문에,
“보험이 되느냐”가 아니라
“이 환자의 회복 능력을 고려했을 때 어떤 방식이 안전한가”가
치료 판단의 기준이 되었다.
이에 따라 다음 원칙을 설정하였다.
* 염증의 충분한 정리 후 식립
* 상악 전치부 골 환경을 고려한 보수적 식립 위치
* 초기 골유착 환경 개선을 위한 플라즈마 처리 병행
만 65세 보험임플란트 + 플라즈마 처리 식립
본 환자는 건강보험 기준을 충족하는 만 65세 이상 보험임플란트 대상자였으며,
임플란트 식립 전 플라즈마 표면 처리 과정을 병행하였다.
플라즈마 처리는
보험·비보험의 구분이 아닌,
환자의 전신 상태와 치유 능력에 따른 보완적 선택이다.
이를 통해 기대한 임상적 목적은 다음과 같다.
* 임플란트 표면의 친수성 향상
* 혈액 접촉 시 초기 혈병 안정
* 골형성 세포 부착 환경 개선
* 고령·당뇨 환자에서 초기 골유착 조건 보완
수술 중 소견
수술 중 확인된 상악 전치부는
* 협측 골의 부분적 소실
* 치조정 폭 감소
* 연조직 탄성 저하
등이 관찰되었으며,
식립 각도와 깊이에 대한 세밀한 조정이 필요했다.
임플란트는
잔존골을 최대한 존중하는 위치에 식립하였고,
과도한 전진이나 무리한 고정력 확보는 지양하였다.
봉합 및 초기 회복 평가
수술 후에는
임플란트 고정 상태보다 연조직 반응과 봉합 안정성을 우선적으로 평가하였다.
* 봉합부 긴장도
* 혈류 반응
* 초기 염증 반응 여부
본 증례의 치료 목표는
“식립 완료”가 아니라
“안정적으로 회복될 수 있는 조건을 만드는 것”이었다.
증례 정리 및 임상적 의미
본 케이스는
보험임플란트 치료라 하더라도
모든 환자에게 동일한 방식이 적용될 수 없음을 보여준다.
특히 고령과 전신질환이 동반된 경우에는
임플란트의 종류보다
집도의의 판단 기준과 치료 원칙이 예후에 더 큰 영향을 미친다.
난중일기 기록 요약
* 만 70세 여성, 보험임플란트 적용 대상
* 만성 치주염 및 상악 전치부 치조골 소실
* 당뇨·골다공증 주사제 투약 중인 고위험군
* 보험임플란트 식립 시 플라즈마 처리 병행
* 초기 골유착 환경과 장기 안정성 중심의 치료 계획
기록자
*임플란트 달인 임달
박영준 | 구강악안면외과 전문의
광진구 구의동치과
고난도 임플란트 · 재수술 · 전신질환 동반 임플란트 진료
02.455.0428







