Jung Plant Dental clinic

리얼스토리

홈

Jung Plant Dental clinic

임플란트

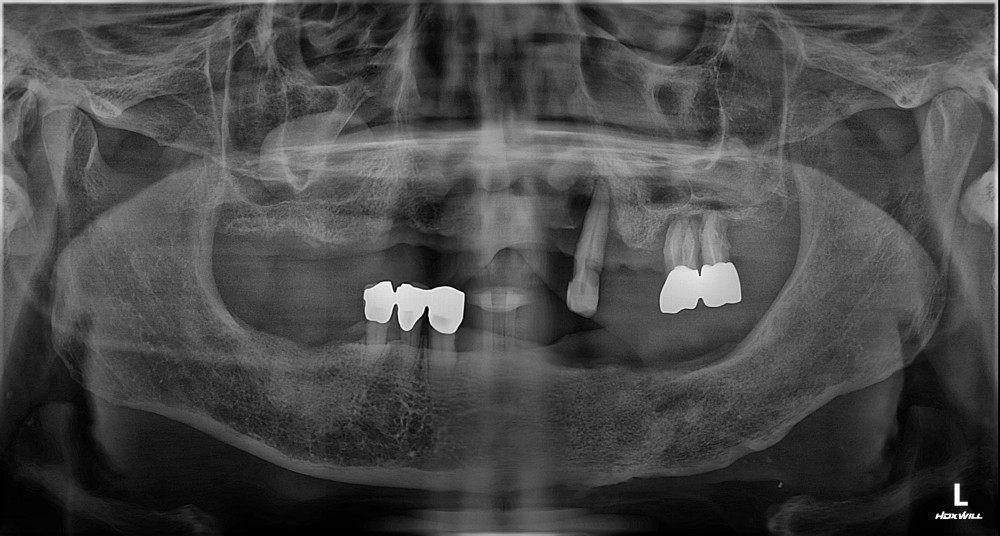
76세 / 남

방사선 전후 사진

위 임상사진은 광진정플란트치과의원에서 진료를 시작하고 마친 동일한 환자의 사진입니다.
위 임상사진은 동일조건으로 촬영되었으며, 사진에 대한 별도의 조작이 처리되지 않았습니다.
수술 및 치료과정에 부작용이 발생할 수 있으므로 충분한 상담과 신중한 판단이 요구됩니다.

전체댓글 0

    등록된 댓글이 없습니다.

서울특별시 광진구
자양로 88 (광영빌딩)
3층 전체

지하철 아이콘 구의역 4번 출구 도보 3~5분

02.455.0428

진료시간

광진정플란트치과 진료시간 안내